DENTAL IMPLANTS  

DENTAL AESTHETICS 

PREMIER ISO 9001:2008 CERTIFIED DENTAL CENTRE    

CHEEMA DENTAL IMPLANT CENTRE
213 MODEL TOWN
Opp. Lane Sanjay Krate School
JALANDHAR, PUNJAB 144003
India

ph: 919814603002
alt: 911814623002

info@dentalimplantsjalandhar.com

Facebook

  • Home
  • TESTIMONIALClick to open the TESTIMONIAL menu
    • IMPLANT CASES
  • DENTAL IMPLANT VIDEO gallery
  • dental implant videos 2
  • Dental Testimonial Videos 3
  • Dental Implants india videos 4
  • implant patient videos 5
  • videos 6
  • Video Gallery 7
  • video gallery 8
  • Contact Us
  • Online Payment
  • online dental appointment
  • Dental Implant videos Punjabi
  • DENTAL IMPLANTS IMAGE GALLERYClick to open the DENTAL IMPLANTS IMAGE GALLERY menu
    • FRONT TEETH IMPLANTS
  • KNOW YOUR DOCTOR
  • About Us
  • dental implants
  • SERVICES
  • NEWS AND ACHIEVEMENTS
  • TECHONOLOGY
  • Sterlization
  • VIEW OF DENTAL OFFICE
  • COMPUTER GUIDED DENTAL IMPLANTS
  • IMPLANT FOR IMMEDIATE EXTRACTION CASES
  • NOBEL ACTIVE DENTAL IMPLANT
  • IMMEDIATE FUNCTION DENTAL IMPLANTS
  • MULTIMEDIA PRESENTATION ABOUT DENTAL IMPLANTS
  • BONE GRAFTING
  • aesthetic dentistry
  • HOLLYWOOD SMILES
  • smile design video gallery
  • METAL FREE CROWN BRIDGE
  • COSMETIC DENTISTRY PHOTO GALLERY
  • DENTAL VENEERS
  • TEETH WHITENING
  • LINKS
  • DENTAL TOURISM
  • ROOT CANAL TREATMENT
  • INVISALIGN
  • CROWNS IN 1 HOUR
  • KNOW ABOUT YOUR TEETH
  • All on 4: Teeth in a Day
  • BOI BCS KOS IMPLANTS

                      FRONT TEEH IMPLANTS

                               You will be able to expand each image to see a larger view.

  • IMMEDIATE LOADING NOBEL BIOCARE (NOBEL REPLACE) DENTAL IMPLANTS

    • MISSING FRONT 2 TEETH

      MISSING FRONT 2 TEETH

    • REPLACED WITH IMMEDIATE IMPLANTS & CROWN

      IMMEDIATE IMPLANTS & CROWNS

     

  •       IMMEDIATE IMPLANT PLACED AFTER REMOVAL OF CANINE ROOT
                             NOBEL BIOCARE (NOBEL ACTIVE IMPLANT)

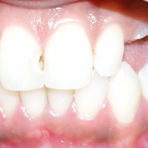
    • FRACTURED CANINE

      FRACTURED CROWN OF CANINE

    • REMOVED ROOT WITH IMMEDIATE IMPLANT

      IMMEDIATE IMPLANT DONE 

  • IMMEDIATE LOADING 4 DENTAL IMPLANTS FOR 1 MISSING AND THREE UNSTABLE FRONT TEETH. NOBEL BIOCARE (NOBEL ACTIVE DENTAL IMPLANTS USED)

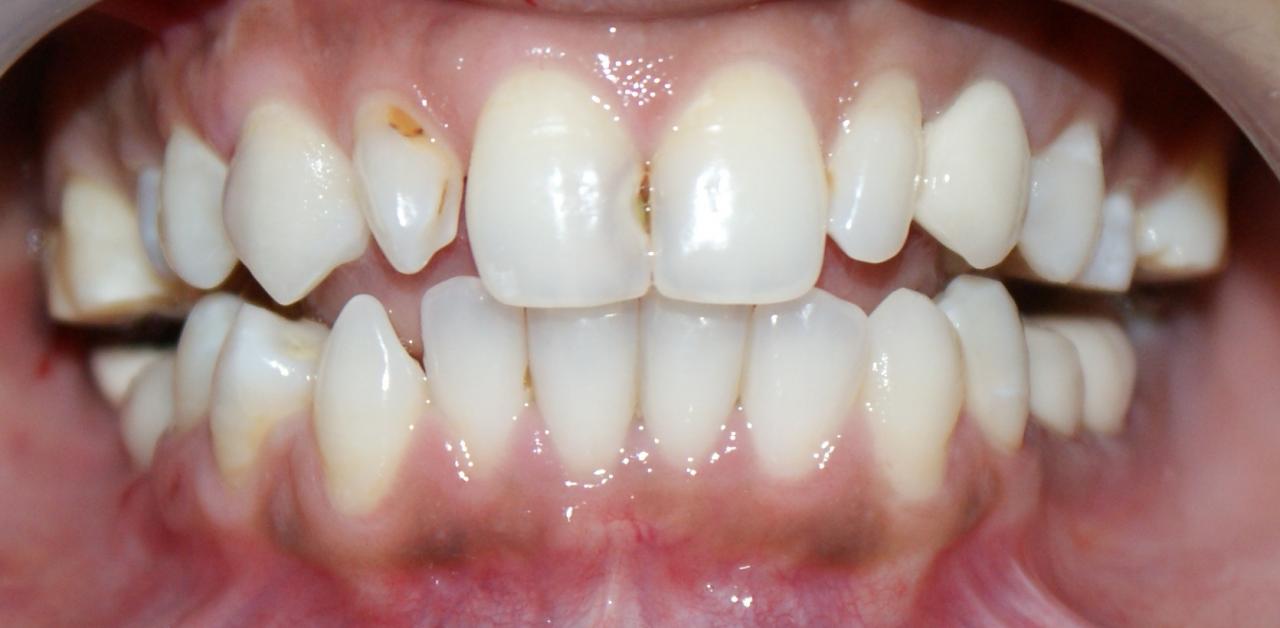
    • BROKEN TOOTH AND ANOTHER THREE ARE UNSTABLE DUE TO TRAUMA

      BROKEN TOOTH AND ANOTHER THREE ARE UNSTABLE DUE TO TRAUMA

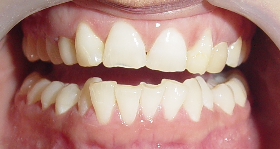
    • REPLACED WITH 4 NOBEL ACTIVE IMMEDIATE IMPLANTS AND CROWNS

      REPLACED WITH 4 NOBEL ACTIVE IMMEDIATE IMPLANTS AND TEMPORARY CROWNS

  • TWO MILK TEETH (MOBILE) ,BOTH CANINES REPLACED WITH IMMEDIATE IMPLANTS.NOBEL BIOCARE (NOBEL REPLACE IMPLANTS)

    • BOTH CANINE TEETH ARE DECEDIOUS (MILK TEETH)

      DECEDIOUS MAXILLARY CANINES

    • REMOVED DECEDIOUS REPLACED WITH IMMEDIATE IMPLANTS AND PERMANENT CROWNS

      REMOVED TEETH ,PLACED IMPLANTS & PERMANENT CROWNS (IMMEDIATE LOADING)

All rights reserved.

CHEEMA DENTAL IMPLANT CENTRE

& MULTI SPECIALITY DENTAL CLINIC

LINKS:-

www.youtube.com/drascheema

www.implantdentistjalandhar.com

CHEEMA DENTAL IMPLANT CENTRE
213 MODEL TOWN
Opp. Lane Sanjay Krate School
JALANDHAR, PUNJAB 144003
India

ph: 919814603002
alt: 911814623002

info@dentalimplantsjalandhar.com

Facebook